甘肃省人民医院完成省内首例Aurora EV-ICD血管外植入术 心脏性猝死防治迈入精准器械治疗新阶段
12月10日,甘肃省人民医院心内科在科主任、甘肃省起搏电生理学会主任委员谢萍教授带领下,联合麻醉科及介入手术室团队,成功为一名心脏性猝死高危患者实施全省首例、全国首批血管外植入式心律转复除颤器(EV-ICD)植入术。该手术的顺利完成,标志着甘肃省在恶性心律失常器械治疗领域实现重要突破,心血管疾病综合防治能力跻身国内先进行列。

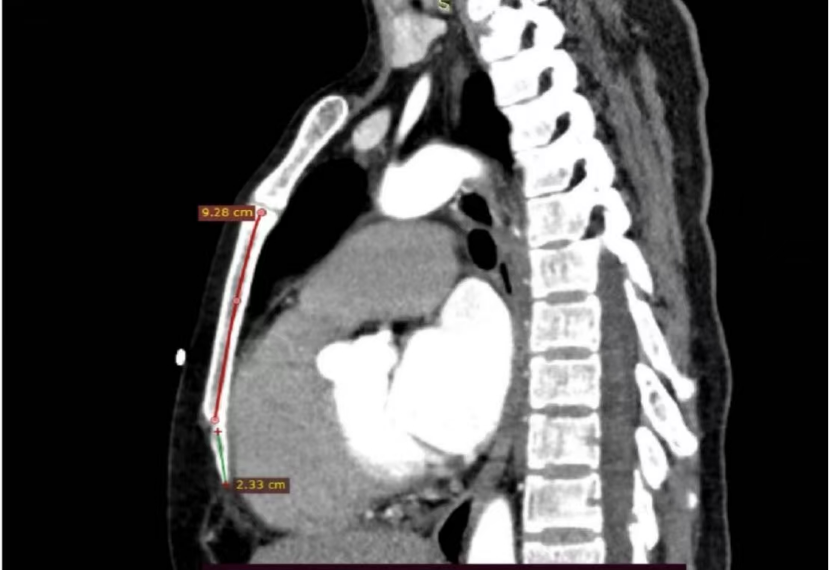
本例患者为47岁女性,因室速、室颤发作伴意识丧失,经外院电复律抢救后转入甘肃省人民医院。入院后心脏彩超提示心脏扩大,左室射血分数(LVEF)仅为38%,心脏核磁进一步提示结缔组织病变累及心肌。住院期间患者反复出现恶性心律失常,共接受7次电复律治疗,符合植入ICD的强适应证。

与传统经静脉ICD不同,EV-ICD系统将除颤电极置于胸骨下血管外区域,无需经静脉植入心内导线。这一创新设计既避免了导线长期留置可能引发的血管占位、静脉闭塞等问题,也为患者保留了未来可能需要的冠状动脉介入、起搏治疗等重要诊疗通道。尤其对中青年患者而言,EV-ICD在确保等效除颤功能的同时,显著降低了远期并发症风险,为终身管理提供更优选择。
谢萍教授指出,EV-ICD技术是ICD领域的重要革新。其无静脉导线设计可有效解决静脉通路异常、闭塞或高感染风险患者的植入难题,兼具电池寿命长、功能集成度高等优势,为心脏性猝死高危人群提供了更精准、更可持续的个体化防治方案。此次手术中电极位置稳定,除颤阈值(DFT)测试一次达标,印证了该技术在临床实践中的安全性与有效性。
甘肃省人民医院此次成功开展EV-ICD植入术,不仅体现了多学科协作在复杂心血管疾病诊疗中的核心作用,也为区域内心脏性猝死的综合防治体系建设注入新动力,将为更多高危患者构建起坚实的生命防线。(甘肃省人民医院供图)
- 2025-12-11戈壁大棚喜分红 强村富民有盼头——肃北村集体经济结出“幸福果实”
- 2025-12-11“90后”网警马文杰:追光数字疆域 守护一方网络晴空
- 2025-12-11国网甘肃省电力公司党校(培训中心):“陇原红书包星火传声筒”红色宣讲项目入选兰州市卓越成效志愿服务项目
- 2025-12-11国网甘肃电力工会荣获全国“书香三八”读书活动多项荣誉
西北角
中国甘肃网微信
微博甘肃
学习强国
今日头条号










